Gengivite: cause, sintomi e rimedi per le gengive infiammate

-
01/07/2017
Tempo di lettura: 5 minuti

La gengivite è un’infiammazione delle gengive piuttosto diffusa, che di per sé non comporta alcun problema e se curata in modo adeguato è del tutto reversibile. Tuttavia, la gengivite non deve essere trascurata perchè rischia di degenerare in parodontite con conseguenze anche molto serie. 

Le cause della gengivite e i fattori di rischio

La gengivite è un’infiammazione provocata da alcuni batteri che compongono la placca dentale e si depositano quindi sullo smalto dei denti, annidandosi in particolar modo nello spazio a diretto contatto con le gengive. Le specie batteriche responsabili di questa patologia possono essere diverse, tuttavia ci sono alcune persone che hanno maggiori probabilità di soffrire di gengivite. Tra i fattori di rischio più comuni troviamo:

  • Fumo di sigaretta;
  • Stress;
  • Gravidanza e pubertà (per via di fattori ormonali connessi con la gengivite);
  • Diabete;
  • Predisposizione genetica;
  • Terapie farmacologiche (es. pillola anticoncezionale, antidepressivi, antiepilettici).

La gengivite può inoltre essere provocata da un trauma ma anche di un intervento dentistico non appropriato ed effettuato male.

I sintomi della gengivite: come riconoscerla

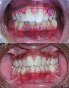
Gengive-infiammateRiconoscere una gengivite non è difficile ma è molto importante perchè come abbiamo accennato prima questa patologia di per sé piuttosto innocua rischia di degenerare in patologie dentali molto più serie. I sintomi più comuni di una gengivite nel suo primo stadio sono i seguenti:


Leggi anche: Parodontite: cause, sintomi, cure e rimedi contro la piorrea

  • Sanguinamento delle gengive (soprattutto quando si lavano i denti);
  • Alito cattivo;
  • Gengive arrossate, gonfie e poco sode;
  • Cattivo sapore in bocca.

In uno stadio avanzato, la gengivite può presentare dei sintomi più accentuati e gravi, ossia:

  • Recessione gengivale (le radici rimangono scoperte);
  • Mobilità dentale accentuata;
  • Presenza di spazi tra i denti.

Come curare la gengivite in adulti e bambini

La gengivite è una patologia che si può curare in modo definitivo, sia con terapie farmacologiche mirate che adottando dei comportamenti utili a ridurre l’infiammazione e lenire le gengive.

Cure farmacologiche

Per quanto riguarda i farmaci impiegati per trattare la gengivite, tra i più comuni troviamo gli antinfiammatori come i FANS, ma anche l’idrocortisone è particolarmente efficace se applicato direttamente sulla gengiva infiammata. Il dentista o il medico possono prescrivere anche un antibiotico o un collutorio alla Clorexidina, con funziona antisettica. Non sempre è necessario ricorrere ai farmaci per curare la gengivite: a volte è sufficiente adottare delle accortezze dal punto di vista alimentare e igienico.

Alimentazione e igiene

Per quanto riguarda l’alimentazione, ci sono alcuni cibi da preferire in caso di gengivite: frutta e verdura cruda sono perfette perchè ricche di vitamine utili per rafforzare il sistema immunitario e combattere le infezioni batteriche. Da evitare invece cibi e bevande ricchi di zucchero o troppo duri, perchè potrebbero peggiorare le situazione e provocare sanguinamento gengivale.

Per quanto invece riguarda l’igiene dentale, conviene utilizzare uno spazzolino a setole morbide per evitare di irritare ulteriormente le zone infiammate e preoccuparsi di pulire i denti almeno 4 volte al giorno e comunque dopo ogni pasto. Questo per evitare accumuli di tartaro sullo smalto dei denti e nelle zone limitrofe al congiungimento gengivale.

Rimedi naturali contro la gengivite

Infine, esistono alcuni rimedi naturali particolarmente efficaci per ridurre il gonfiore e l’infiammazione delle gengive. Tra questi, un ottimo rimedio è il gel all’aloe vera perchè ha delle eccezionali proprietà antisettiche e antinfiammatorie: basta spalmarlo sulle gengive massaggiando con delicatezza per ottenere un immediato sollievo e guarire in tempi rapidi. Un altro rimedio naturale, che però in alcuni casi potrebbe essere un po’ doloroso, è fare dei risciacqui con acqua e limone: questo agrume è un eccellente disinfettante. Potrebbe bruciare un po’ in caso di gengive sanguinanti, ma vale la pena sopportare.


Potrebbe interessarti: Corsodyl: ottimo disinfettante per bocca e gengive

Prevenire la gengivite

La prevenzione è senza dubbio il primo passo per evitare di trovarsi con questa spiacevole patologia e non richiede grandi accorgimenti. Sarebbe sufficiente effettuare un’igiene periodica professionale per rimuovere i residui di placca e tartaro che potrebbero dare vita ad un’infiammazione e non trascurare l’igiene orale. Lavare i denti dopo ogni pasto è fondamentale per evitare qualsiasi patologia dentale, così come passare il filo interdentale ogni volta che si spazzolano i denti. Per prevenire la gengivite, inoltre, è importante limitare al minimo i fattori di rischio che abbiamo elencato prima, come ad esempio il fumo di sigaretta e altre sostanze irritanti.

Rischi e complicazioni della gengivite

Come abbiamo già accennato, questa infiammazione non è di per sé preoccupante ma se viene trascurata può provocare una serie di patologie ben più serie a carico di tutta la struttura dentale come la parodontite. Questa è un’infiammazione dei tessuti parodontali e le sue conseguenze possono essere davvero molto serie: mobilità dentale elevata, sanguinamento, ascesso e addirittura perdita di uno o più denti. La parodontite non è una patologia irreversibile, ma anche in questo caso è importante riconoscerla subito e curarla in modo tempestivo. Se trascurata, anche questa patologia rischia di diventare incurabile e le cure potrebbero essere inutili quando presa troppo tardi.

Ti potrebbe interessare anche…



disclaimer attenzione