Parodontite: cause, sintomi, cure e rimedi contro la piorrea

-
15/09/2017
Tempo di lettura: 5 minuti

La parodontite, chiamata nel linguaggio si uso comune anche piorrea, è un’infiammazione che coinvolge i tessuti parodontali e provoca una perdita di attacco dei denti all’alveolo. Le conseguenze di questa patologia, se non trattata, possono essere anche molto serie: nei casi più gravi si può arrivare alla perdita di tutti i denti. Per questo motivo è importante imparare a riconoscere i primi segnali della parodontite, in modo da correre ai ripari in modo tempestivo. Se trattata per tempo, la piorrea può essere curata e risolta ma se si arriva troppo tardi l’unica soluzione è l’intervento chirurgico. 

Come vedremo tra poco, il grande problema della parodontite è il fatto che spesso e volentieri presenta sintomi molto blandi, che possono essere sottovalutati dal paziente. Addirittura, in molti casi è asintomatica nelle sue prime fasi, il che rende naturalmente ancora più complicato un trattamento tempestivo della patologia.

Le cause della parodontite ed i fattori di rischio

Le cause della parodontite possono essere diverse e di varia natura, ma sicuramente esistono dei fattori di rischio che determinano un aumento delle probabilità di contrarre questa patologia per determinati pazienti. Le cause della piorrea possono essere le seguenti:

  • Igiene orale (batteri, placca e tartaro): i batteri che si insinuano tra i denti determinano la formazione della placca. Questa, se non viene rimossa in modo adeguato con una corretta igiene orale, si calcifica e si trasforma in tartaro andando ad infiammare le gengive. Inizialmente questo fenomeno genera una gengivite, ma se questa non viene trattata in modo adeguato può sfociare in un danno che investe anche l’osso e degenera quindi in parodontite.
  • Ereditarietà: il fattore ereditario non deve essere sottovalutato, perchè sono diversi i casi di piorrea ereditaria. Se quindi in famiglia qualcuno ha già sofferto di questa patologia, è molto più probabile che si presentino altri casi nello stesso nucleo parentale.

Naturalmente, come abbiamo visto, esistono alcuni fattori di rischio che aumentano le probabilità di soffrire di questa patologia dentale. Tra i fattori di rischio più comuni troviamo i seguenti: 


Leggi anche: Parodontite: terapie, cure e farmaci per curarla

  • Fumo di sigaretta
  • Alcol
  • Scarsa igiene orale
  • Stress cronico
  • Sistema immunitario indebolito
  • Opere odontoiatriche scorrette
  • Malattie croniche (diabete)

Anche se i fattori di rischio sono diversi, bisogna ricordare che il fumo di sigaretta e una scorretta igiene orale sono tra le cause principali di questo disturbo.

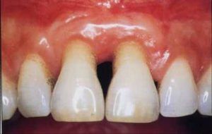
I sintomi della parodontite: come riconoscerla

ParodontiteCome abbiamo detto, la parodontite è una patologia che purtroppo non presenta sintomi evidenti sin dalla sua comparsa: le manifestazioni che possono rappresentare un campanello d’allarme arrivano tardi, quando ormai il danno è stato fatto. Bisogna però sottolineare che riconoscere i sintomi non appena compaiono è fondamentale, per evitare che la patologia degeneri sempre di più e divenga irreversibile.

I sintomi più comuni della piorrea sono i seguenti:

  • Fastidio durante la masticazione
  • Gengive doloranti ed irritate
  • Aumento della mobilità dentale
  • Gengive sanguinanti e gonfie
  • Gengivite
  • Diversa percezione del gusto
  • Alitosi
  • Ritiro delle gengive
  • Comparsa di spazi interdentali
  • Ascesso
  • Caduta di uno o più denti (quando la patologia è ormai grave).

I sintomi, che si può comprendere dalla lista appena stilata, riguardano principalmente le gengive: naturalmente possono dipendere anche da patologie meno gravi come la gengivite ma è importante rivolgersi ad un professionista per appurare le cause del problema. Anche una semplice gengivite infatti, se non curata e trattata, può degenerare in piorrea. 

Cure ed interventi per la parodontite

La piorrea, come abbiamo già accennato, è una patologia che si può curare ma le probabilità di guarigione completa e la tipologia di cure dipendono dalla fase di sviluppo della patologia. Se identificata nelle sue prime fasi, la parodontite si può curare semplicemente con una specifica igiene dentale effettuata dal dentista: rimuovendo placca e tartaro è possibile ridurre l’infiammazione. Nei casi più avanzati è possibile intervenire anche con la somministrazione di farmaci antibiotici, mentre quando ormai il danno è irreversibile diventa necessario l’intervento chirurgico. In tutti i casi, sarà il dentista a valutare l’entità del disturbo e consigliare l’approccio meno invasivo.

L’importanza della prevenzione

La piorrea è una patologia molto seria, che non deve essere sottovalutata perchè può degenerare e provocare la caduta di tutti i denti. Poichè una volta che l’infiammazione è in atto diventa difficile identificare la presenza di questo disturbo sin dalle sue primissime fasi, la miglior arma contro la parodontite rimane la prevenzione. Per prevenire questo disturbo è possibile mettere in atto alcuni semplicissimi comportamenti e mantenere uno stile di vita sano ed igienico:


Potrebbe interessarti: L’importanza di avere denti sani e belli

  • Pulire i denti in modo accurato, con spazzolino e filo interdentale, almeno 3 volte al giorno;
  • Eseguire la pulizia dei denti presso il proprio dentista almeno ogni 6 mesi, per rimuovere in modo efficace placca e tartaro;
  • Utilizzare uno spazzolino a setole morbide ed evitare di spazzolare i denti con troppo vigore;
  • Non fumare e non bere alcol;
  • Seguire una dieta ricca di frutta e verdura, riducendo il più possibile gli zuccheri;
  • Cercare di diminuire i livelli di stress.

A chi rivolgersi?

La prevenzione è importante, e tra le cose da non dimenticare troviamo la visita annuale dal proprio dentista. Tra i nostri migliori professionisti consigliamo:

Una semplice visita annuale dal tuo dentista ti può evitare grossi problemi in futuro. Pensaci!



disclaimer attenzione