La gengivite è un’infiammazione delle gengive piuttosto diffusa, che di per sé n...
La mastite è un’infiammazione della mammella causata solitamente da un’infezione ...
I dolori intercostali fanno sempre molta paura perchè comprendono una serie molto ampia di ma...
Il Papilloma Virus è la malattia venerea più diffusa e nella maggior parte dei casi si...
La congiuntivite è un’infiammazione della congiuntiva, ossia della membrana mucosa che ...
La cistite è un’infiammazione del tratto urinario e in particolare della vescica: si tr...
L’orticaria è una patologia della pelle, caratterizzata dalla comparsa di macchie e pom...
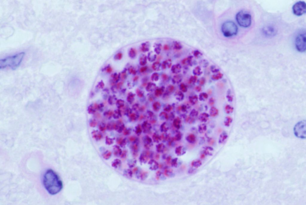
La toxoplasmosi è una malattia causata da un parassita, che spesso non presenta sintomi negli...
L’anemia è la patologia del sangue più comune e può essere anche il sinto...
Il mal di testa è un sintomo che si presenta in moltissime persone, tanto da essere una delle...